Removable Appliances
Removable appliances are primarily used to maintain space in the primary dentition . Like fixed bilateral appliances, removable appliances are typically used when more than one tooth has been lost in a quadrant. The removable appliance is often the only alternative because there are no suitable abutment teeth and because the cantilever design of the distal shoe or the band and loop appliance is too weak to withstand occlusal forces over a two-tooth span. Removable appliances can also be an alternative to fixed bilateral appliances for the replacement of missing incisors. Not only can the partial denture replace more than one tooth, but it also replaces occlusal function.

Functional Appliances
Functional appliances represent a second category of removable design (although they may also be fixed). They are constructed primarily with the hope of changing the position of the mandible (i.e., to hold the lower jaw open and to posture it forward) as well as to limit or enhance the eruption of maxillary molars

Headgear
Headgear is used to correct the position of the back teeth or to keep them in position while the front teeth are being treated.
Most people only need to wear headgear for a few hours during the evening or when they're sleeping. You won't be able to eat or drink while wearing headgear.

Retainers
A third category of removable appliances are used for the retention of the achieved orthodontic results. A spectrum of retention appliance designs are used in everyday ortho¬dontic practice. With regard to the issue of retention, Melsen stated the following: “We [orthodontists] deliver the product, but the final result, as when you buy a car, depends on life-long retention and life-long maintenance. Other than diamonds, everything has to be maintained; true stability only occurs post mortem.

Invisalign
We can also add Invisalign, which is a product that involves a series of removable clear aligners, as a fourth category to the list of removable orthodontic appliances. It is a method that is used for the purpose of orthodontic tooth movement. Clinical judgment is required to determine when this option is an appropriate form of treatment for the correction of specific—but limited—patterns of malocclusion. Nevertheless, as of 2013, it is estimated that approximately 2 million individuals have completed or are currently receiving Invisalign treatment.

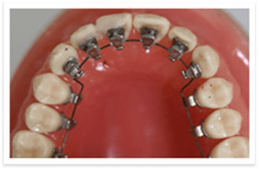
FIXED APPLIANCES
Fixed braces
Fixed braces are the most common type of orthodontic appliance. They can be used when a number of teeth need to be corrected, or when the treatment needs to be precise to prevent problems in the future.
You'll be able to eat normally while wearing a fixed appliance. However, you should avoid certain foods and drinks, such as toffee, hard sweets and fizzy drinks, as they can damage the appliance and your teeth.
If you're using a fixed appliance and you play a contact sport such as rugby, you should wear a gum shield to protect both your mouth and the appliance.
Fixed braces are usually made out of metal, so will be noticeable on the front of your teeth.
Ceramic braces are the same size and shape as metal braces, except that they have tooth-colored or clear brackets that blend in to teeth. Some even use tooth-colored wires to be even less noticeable.

Lingual braces are the same as traditional metal braces, except that the brackets and wires are placed on the inside of teeth.

Results
You're likely to achieve good results within 18 to 24 months of starting treatment as long as you:
• take good care of your teeth
• wear your appliances as instructed
• follow your orthodontist's dietary advice
• wear your retainer to maintain the results
Just call us for any for any Help 24X7. Home visit also available in case of Special Needs.